当院ではオーナーの希望で膀胱切開などは通常のやり方で行っていましたが、最近は腹腔鏡補助下での手術を希望される方が圧倒的に増えてきています
腹腔鏡補助下での手術だと皮膚の傷が1-2cmぐらいで済むことが多く膀胱の切開も大きくすることなく手術ができるからだと思います(当然膀胱内の結石があまりに大きいとできないこともあります)
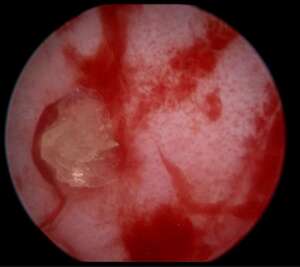
カメラだと

といったように膀胱内の結石が確認できます
それを専用の道具でつかんで摘出します

そして細かい結石は


といったようにサクションと言われる吸引する道具ですっていきます
そうすると膀胱内はきれいになります
最後に膀胱内と

尿道内に結石がないことを確認します
このように目で確認しながらの手術ができます
ご希望の方は相談してみてください